Click a photo below to view the before and after photographs.
R.J.
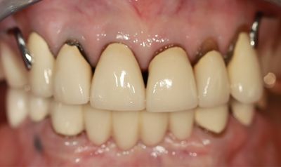
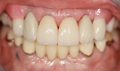
Rhonda came to us wanting to regain her youthful look. She had failing dental work and warn teeth. She suffered with TMJ pain too. Her new smile is not only beautiful, but she also got relief from the pain she was having from an improper bite. Not only does she look younger, she feels younger too.




















